Mortons Foot


Synopsis

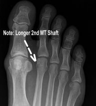
Morton's foot is characterized by the second toe being longer than the big toe. The problem is that the bone behind the big toe (first metatarsal) is too short. This inherited trait occurs in about 25 percent of the population.

Mortons Foot

When you walk or run, you create forward momentum by pushing off with the big toe, which is called toeing off. Just before toeing off, you place all of your weight on the head of the first metatarsal. In people with Morton's foot, the first metatarsal is too short to provide the leverage needed to shift the weight to the bottom of the big toe. Instead, the foot buckles to the inside, and the weight rolls along the inner side of the big toe. This is similar to what happens with the pronating foot, but a Morton's foot doesn't pronate until weight is placed on the toes.

People with Morton's foot first strike the ground with the far outer part of the foot. This is probably an unconscious attempt to correct the inward roll of the foot, but it doesn't help prevent the pronation on toeing off. Instead, the person ends up walking across the foot, landing on the outside of the heel and then toeing off on the inside of the big toe, instead of walking with a straight-footed, heel-to-toe gait.

Walking on the inner side of the big toe of a Morton's foot usually forms a large callus there. The big toe will also be pushed toward the second toe, and the pressure on the inside of the big toe may cause bunions on the inside of the foot.

Treatment      

If you have Morton's foot, you may get by with a commercial arch support along with a foam pad under the big toe. More likely, you will need an orthotic that has an arch support and is built up under the big toe joint. When your foot starts to buckle, the built-up area will force you to push straight off your foot.