Jones Fracture


Synopsis

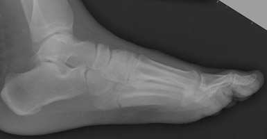
A Jones fracture is a fracture of the fifth metatarsal of the foot. The fifth metatarsal is at the base of the small toe, and the proximal end, where the Jones fracture occurs, is in the midportion of the foot. Patients who sustain a Jones fracture have pain over this middle/outside area of their foot, swelling, and difficulty walking.

a jones fracture

Treatment

Treatment of an acute Jones fracture that is not significantly displaced consists of a cast or walking boot for 6-8 weeks. Milder fractures may be treated with orthotics.

Patients should not place weight on the foot until instructed by their doctor.

Jones fractures can become chronic conditions if the fracture fails to unite. If this is the case, surgery will likely be recommended to secure the fracture in place with a screw.