Bunions
Source: American Academy of Orthopedic Surgeons
Synopsis
If the joint that connects your big toe to your foot has a swollen, sore bump, you may have a bunion. More than half the women in America have bunions, a common deformity often blamed on wearing tight, narrow shoes, and high heels. Bunions may occur in families, but many are from wearing tight shoes. Nine out of ten bunions happen to women. Nine out of ten women wear shoes that are too small. Too-tight shoes can also cause other disabling foot problems like corns, calluses and hammertoes.
With a bunion, the base of your big toe (metatarsophalangeal joint) gets larger and sticks out. The skin over it may be red and tender. Wearing any type of shoe may be painful. This joint flexes with every step you take. The bigger your bunion gets, the more it hurts to walk. Bursitis may set in. Your big toe may angle toward your second toe, or even move all the way under it. The skin on the bottom of your foot may become thicker and painful. Pressure from your big toe may force your second toe out of alignment, sometimes overlapping your third toe. An advanced bunion may make your foot look grotesque. If your bunion gets too severe, it may be difficult to walk. Your pain may become chronic and you may develop arthritis.
|
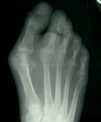
Typical Bunion |
|
Relief from bunions
Most bunions are treatable without surgery. Prevention is always best. To minimize your chances of developing a bunion, never force your foot into a shoe that doesn’t fit. Choose shoes that conform to the shape of your feet. Go for shoes with wide insteps, broad toes and soft soles. Avoid shoes that are short, tight or sharply pointed, and those with heels higher than 2 1/4 inches. If you already have a bunion, wear shoes that are roomy enough to not put pressure on it. This should relieve most of your pain. You may want to have your shoes stretched out professionally. You may also try protective pads to cushion the painful area.
If your bunion has progressed to the point where you have difficulty walking, or experience pain despite accomodative shoes, you may need surgery. Bunion surgery realigns bone, ligaments, tendons and nerves so your big toe can be brought back to its correct position. Orthopaedic surgeons have several techniques to ease your pain. Many bunion surgeries are done on a same-day basis (no hospital stay) using an ankle-block anesthesia. A long recovery is common and may include persistent swelling and stiffness.
Adolescent Bunion
Your young teenager (especially girls aged 10-15) may develop an adolescent bunion at the base of his or her big toe. Unlike adults with bunions, a young person can normally move the affected joint. Your teenager may have pain and trouble wearing shoes. Try having your child’s shoes stretched and/or getting wider shoes. Surgery to remove an adolescent bunion is not recommended unless your child is in extreme pain and the problem does not get better with changes in shoe wear. If your adolescent has bunion surgery, particularly before they are fully grown, there is a strong chance his or her problem will return.
Bunionette(Taylor's Bunion)

If you have a painful swollen lump on the outside of your foot near the base of your little toe, it may be a bunionette (tailor’s bunion). The 5th or baby toe may be turned inwards and there may be a bump to the outside that gets irritated when in shoes.
Taylor's bunion is an enlargement of the outside of the head of the 5th metatarsal. Genetic formation of the foot is the most common cause of Taylor's Bunion. One or both feet may have this bony enlargement. Chronic pressure applied to the outside of the foot from shoes creates irritation. There may be subluxation or dislocation at the 5th metatarsal and lesser toe joint. Injury may cause dislocation of the joint. The little toe can point inwards towards the big toe producing swelling and increased pressure to the joint. This area may become red, hot, swollen, and very painful. A bursa that is there naturally may swell up causing a bursitis of this area. Continued pressure can lead to the development of an ulcer with infection or the formation of corns and calluses. shoes correctly sized and fitted with a wide toe box may help. In cases of persistent pain or severe deformity, surgical correction is possible.