Stress Fractures


Source: American Academy of Orthopedic Surgeons

Synopsis

Stress fractures are a type of overuse injury. These tiny cracks in your bones develop when your muscles become overtired (fatigued) and can no longer absorb the shock of repeated impacts. When this happens, the muscles transfer the stress to the bones, creating a small crack or fracture.

Stress fractures also can occur with normal usage if osteoporosis or some other disease weakens your bones and leaves them vulnerable. These fractures are often called "insufficiency fractures" because there isn't enough bone to withstand the normal stress of daily use.

Most stress fractures occur in the weight bearing bones of the foot and lower leg. The most commonly affected site is the second or third of the long bones (metatarsals) between the toes and the midfoot. Stress fractures also can occur in the heel, the outer bone of the lower leg (fibula) and the navicular, a bone on the top of the midfoot.

 

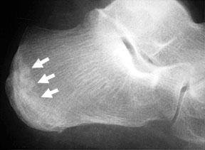
these arrows show the evidence calcaneal stress fracture. while there is no crack present there are calcium deposits where the bone has repaired itself.

Who's at risk?

a metatarsal stress fracture.

 

Causes of stress fractures

Doing too much too soon is a common cause of stress fractures. Runners who have been confined indoors for most of the winter may want to pick up where they left off at the end of the previous season. Instead of starting slowly, they try to match their previous mileage. The result could be stress fractures in the foot and ankle.

Improper sports equipment, such as shoes that are too worn or stiff, also can contribute to stress fractures. A change of surface, such as going from a grass tennis court to one of clay or from an indoor to an outdoor running track, can increase the risk of stress fractures. Errors in training or technique are another cause of stress fractures. Some conditions, such as flatfoot or bunions, can change the mechanics of your foot and make stress fractures more likely to develop.

Insufficiency stress fractures result when the bone itself is weak. Conditions such as osteoporosis reduce the density and quality of bone matter, thus increasing the risk of fracture. Female athletes who experience irregular or absent menstrual periods may also have decreased bone density and an increased risk of stress fractures.

Signs and symptoms

Diagnosis and Treatment

If you suspect a stress fracture in your foot or ankle, stop the activity and rest the foot. Ignoring the pain can have serious consequences, and the bone may break completely. Apply an ice pack and elevate the foot above the level of your heart. Try not to put weight on the foot until after you see a doctor.

Stress fractures are difficult to see on X-rays until they've actually started to heal. Your orthopedist may recommend a bone scan, which is more sensitive than an X-ray and can detect stress fractures early.

Treatment will depend on the location of the stress fracture. Most stress fractures will heal if you reduce your level of activity and wear protective footwear for two to four weeks. Your orthopedist may recommend that you wear a stiff-soled shoe, a wooden-soled sandal, or a removable short leg fracture brace shoe. Athletes should switch to a sport that puts less stress on the foot and leg. Swimming and bicycle riding are good alternative activities.

Stress fractures in the fifth metatarsal bone (on the outer side of the foot) or in the navicular or talus bones take longer to heal, perhaps as long as six to eight weeks. Your orthopedist may apply a cast to your foot or recommend that you use crutches until the bone heals. In some cases, you may need surgery so that the orthopedist can insert a screw in the bone to ensure proper healing.

 

stress fractures of the heel can be diagnosed by cupping the heel with the hand(s) and applying side-to-side pressure,

which induces pain. Antalgic, propulsive gait is normally seen with splinting of the heel in either varus or valgus in an attempt to keep pressure off the fracture site. In some cases the patient will plantar-flex the ankle joint and flex the hip and knee joints as a form of

compensation to avoid heel strike. Muscle spasm can be seen in many of these cases, again as a result of efforts to protect the injured Calcaneus

 

Preventing stress fractures

Because stress fractures that don't heal properly can develop into complete breaks of the bone and can become a chronic problem, it's better to prevent them in the first place. Here's what you can do: